La sindrome o morbo di Haglund è una patologia che colpisce il calcagno per lo più delle persone giovani e sportive. Genera una sorta di tallone sporgente che, infiammando il tendine d’Achille, causa forti dolori che compromettono lo svolgimento delle normali attività quotidiane.

Il morbo di Haglund viene spesso riscontrato negli sportivi, soprattutto in chi pratica attività di corsa, ma in realtà a soffrirne non sono solo loro. Localizzata nella zona posteriore del piede, cioè nel calcagno, questa sindrome può dar luogo a forti dolori, fino ad arrivare a limitare banali azioni quotidiane, come salire e scendere le scale o, semplicemente, camminare.
Cos’è il morbo di Haglund
Il morbo di Haglund si manifesta con la comparsa di una protuberanza dolorosa e spesso arrossata sulla parte postero-esterna del calcagno (ecco perché si parla di tallone sporgente) per effetto di una borsite retro-calcaneare. Crea un’infiammazione dapprima della borsa e, successivamente, del tendine d’Achille che si inserisce proprio sul calcagno.
Il nome della sindrome (che nella versione completa è morbo di Sever-Blanke-Haglund) è legato a quello del medico che per primo la descrisse, nel 1928.
Le cause della malattia (attenzione alle scarpe)
La sindrome di Haglund si manifesta sia negli uomini che nelle donne, maggiormente nella fascia tra i 15 e i 30 anni. Anche i bambini possono essere colpiti da una forma che, clinicamente è simile a quella dell’adulto, ma che è dovuta ad un’alterazione della cartilagine di accrescimento del calcagno.
Oltre alle cause anatomiche/strutturali, tra i principali fattori di rischio per lo sviluppo della sindrome vi sono i microtraumi ripetuti legati all’attività sportiva. Il sovraccarico, ad esempio indotto dalla corsa e soprattutto quando non ammortizzato da calzatura adatte, finisce per “stressare” in modo eccessivo il tendine d’Achille alla sua inserzione sul calcagno, generando delle microlesioni che col tempo guariscono mediante apposizione di tessuto cicatriziale fibroso e/o calcifico che sarà, a sua volta, causa di infiammazione e dolore. Non è un caso che molti runner, sia professionisti che amatori, accusino questo disturbo con il passare degli anni.
Un altro fattore di rischio, spesso sottovalutato dalle donne, è l’uso di scarpe troppo strette o scomode che, prediligendo l’estetica alla funzionalità, costringono il piede e la caviglia a microtraumi ripetuti che col tempo danneggeranno tendini e articolazioni.
I sintomi della sindrome di Haglund
Vediamo ora quali sono i sintomi principali con cui questa malattia si manifesta:
- Dolore localizzato nella zona posteriore del piede (tallone);
- Infiammazione e dolore lungo il tendine di Achille;
- Rossore localizzato sempre nella zona posteriore del tallone;
- Protuberanza posteriore del calcagno;
- Ipersensibilità e ispessimento della pelle del tallone.
In presenza di questi sintomi il paziente avrà, quindi, difficoltà nel camminare e nel salire e scendere le scale, impossibilità a praticare attività sportive come la corsa e difficoltà ad indossare calzature strette. In questa situazione sarà meglio rivolgersi ad uno specialista ortopedico.
Gli strumenti per la diagnosi
Lo specialista ortopedico si avvarrà per la diagnosi di:
- Anamnesi ed esame clinico: si ricostruisce la storia del paziente individuando i fattori di rischio presenti e si valuteranno i segni legati alla malattia (presenza di tumefazione arrossata, dolore sul tendine d’Achille, ispessimento cutaneo, evocazione e intensità del dolore);
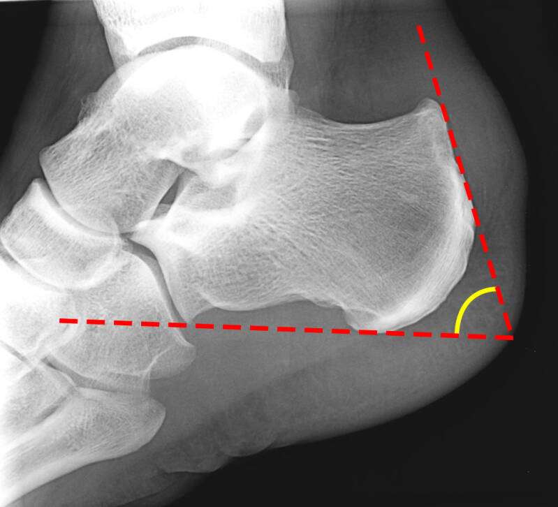
- Radiografia: indispensabile per identificare alterazioni del calcagno ed eventuali calcificazioni nel contesto del tendine d’Achille;
- Ecografia e RMN (Risonanza Magnetica Nucleare): indispensabili per uno studio più accurato dei tessuti molli (tendine d’Achille, borsa pre achillea e retro-calcaneare)
Come curare la malattia di Haglund, i possibili rimedi
Fare una diagnosi corretta e accurata serve anche a valutare la migliore strategia terapeutica. In presenza di una sindrome di Haglund, i trattamenti possibili sono diversi e riconducibili a due categorie principali:
- Trattamento conservativo
- Trattamento chirurgico
Le terapie conservative: scarpe specifiche, antinfiammatori e fisioterapia
I metodi conservativi più efficaci sono: il riposo funzionale, l’utilizzo di calzature adeguate (con suola morbida e ammortizzante), l’adozione di plantari specifici realizzati sulla base di un esame baropodometrico, i farmaci antiinfiammatori non steroidei (FANS) somministrati per via locale (cerotti) o generale.
Le infiltrazioni locali con corticosteroidi, molto efficaci nel controllo dell’infiammazione e del dolore, sono, invece, da evitare per non danneggiare e possibilmente rompere il tendine d’Achille.
Nell’ambito della fisioterapia, i trattamenti più utilizzati sono:
- massoterapia decontratturante e stretching del tricipite surale;
- rinforzo muscolare eccentrico;
- rieducazione propriocettiva;
- laserterapia;
- tecarterapia;
- onde d’urto.
L’intervento chirurgico e la riabilitazione post-operatoria
In presenza di un fallimento delle terapie conservative, l’unica altra strada percorribile sarà, ovviamente, il trattamento chirurgico. Esso consiste nel “decomprimere” anteriormente il tendine d’Achille mediante una resezione della porzione prominente del calcagno e, contestualmente, nella rimozione delle calcificazioni e delle aree di degenerazione del tendine d’Achille.
L’intervento chirurgico può essere realizzato con tecnica mininvasiva o con tecnica artroscopica e in anestesia periferica, dura circa un’oretta e richiede una sola notte di ricovero. La velocità del recupero post-operatorio dipenderà dal grado di degenerazione del tendine ma, in linea di massima, il paziente sarà in grado di deambulare con l’ausilio di un tutore e dei bastoni sin dal giorno dopo. Per la ripresa dell’attività sportiva intensa (corsa e salti) sarà necessario un periodo più lungo.
Grazie a: Polo Sanitario Accreditato San Feliciano